Περιστατικά - Dr. Στέλλα Λυσίτσα - Ζιάκα | Οδοντίατρος, Χειρουργός Στόματος - Εμφυτευματολόγος

Περιστατικά

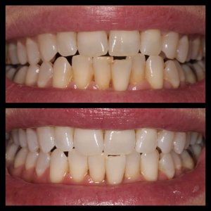
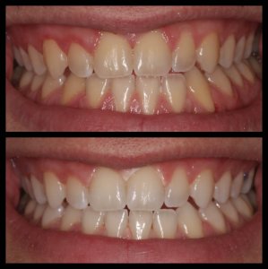
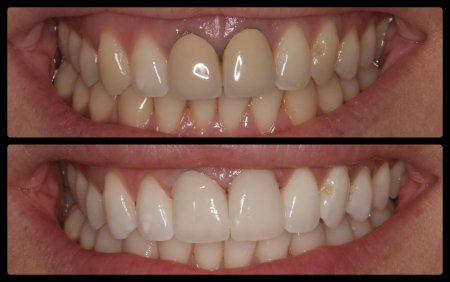
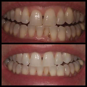
ΛΕΥΚΑΝΣΗ ΔΟΝΤΙΩΝ

 

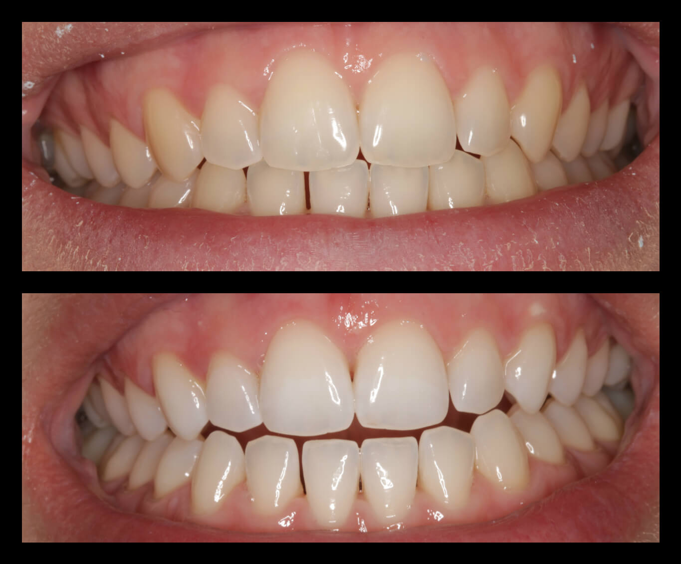
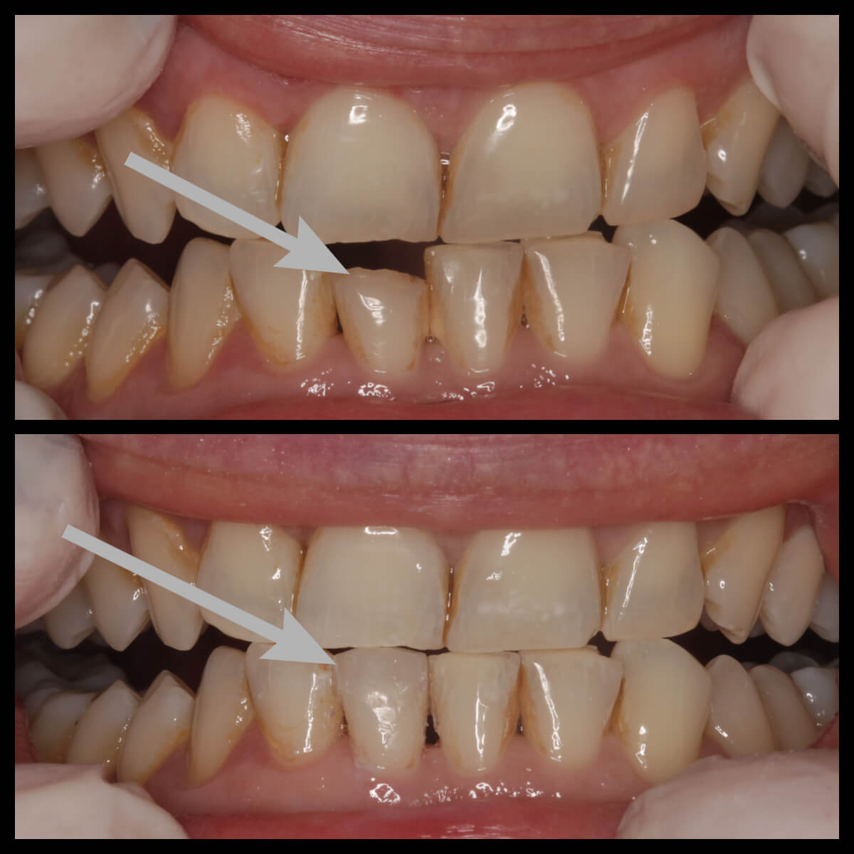
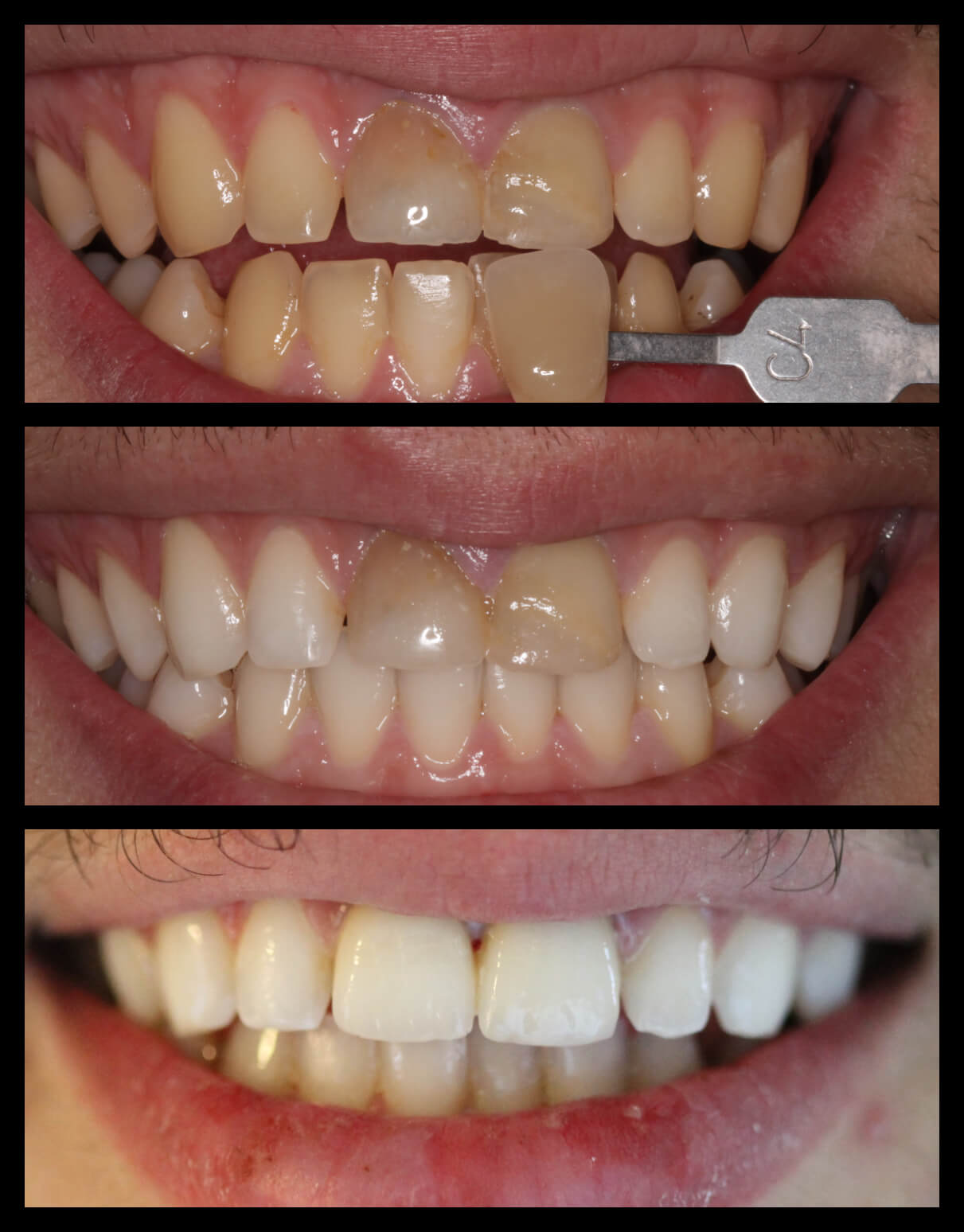
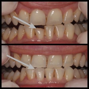
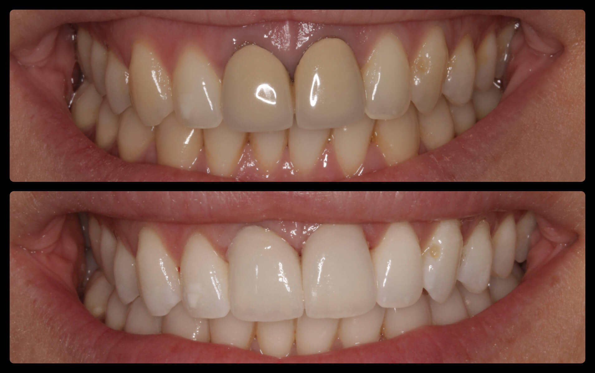
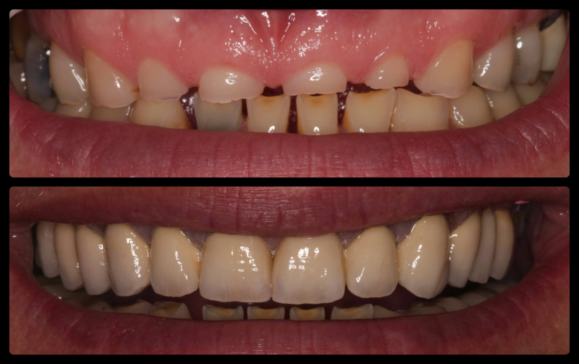
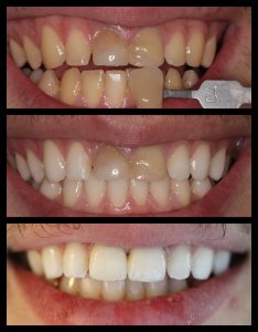
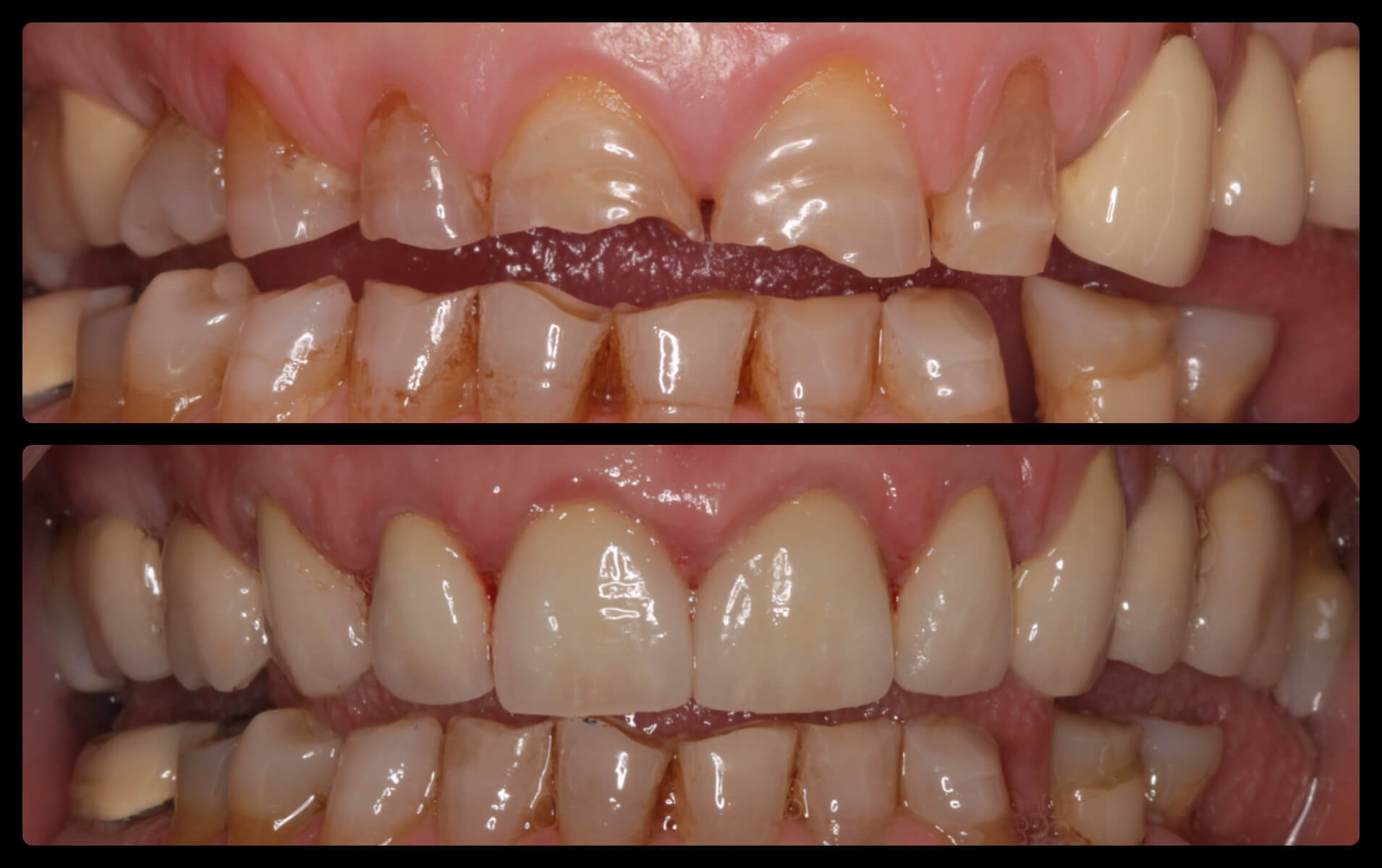
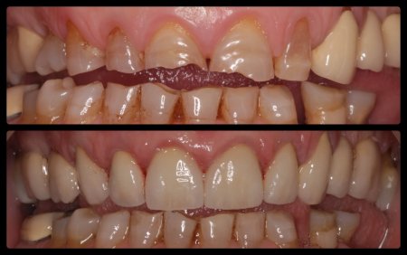
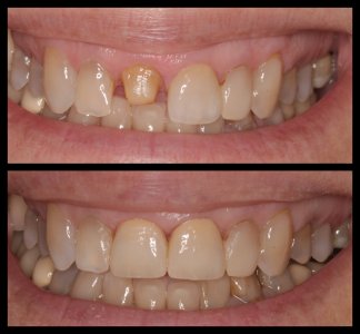
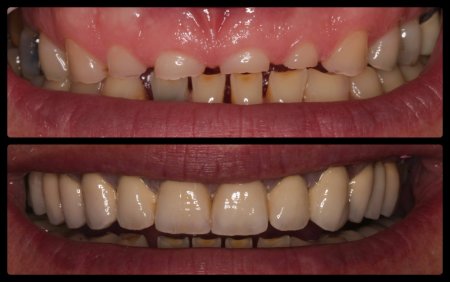
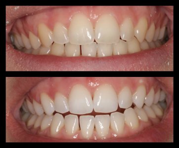
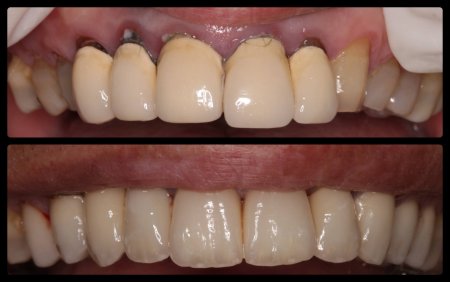
ΠΡΟΣΘΕΤΙΚΕΣ ΑΠΟΚΑΤΑΣΤΑΣΕΙΣ ΜΕ ΣΥΝΔΥΑΣΜΟ ΛΕΥΚΑΝΣΗΣ, ΣΥΝΘΕΤΩΝ ΡΗΤΙΝΩΝ ΚΑΙ ΟΛΟΚΕΡΑΜΙΚΩΝ ΟΨΕΩΝ ΚΑΙ ΣΤΕΦΑΝΩΝ

 

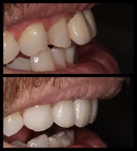
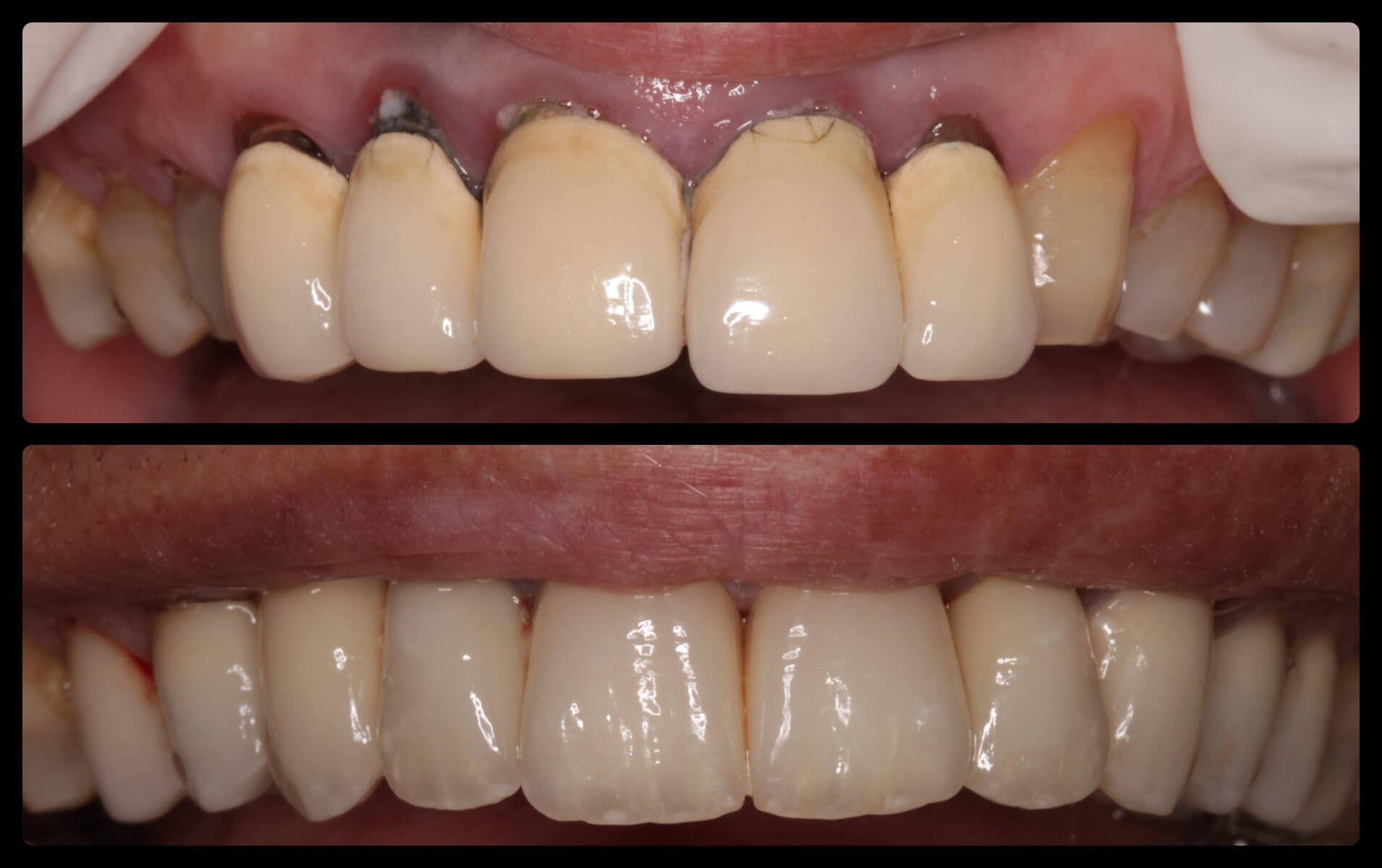
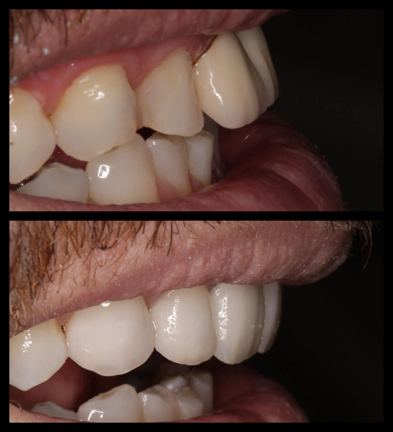
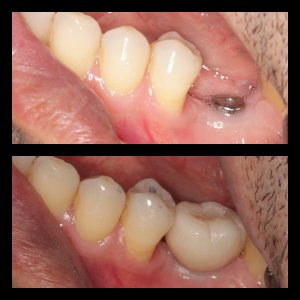
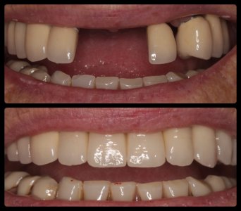
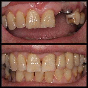
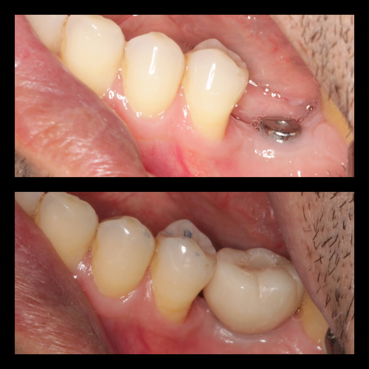
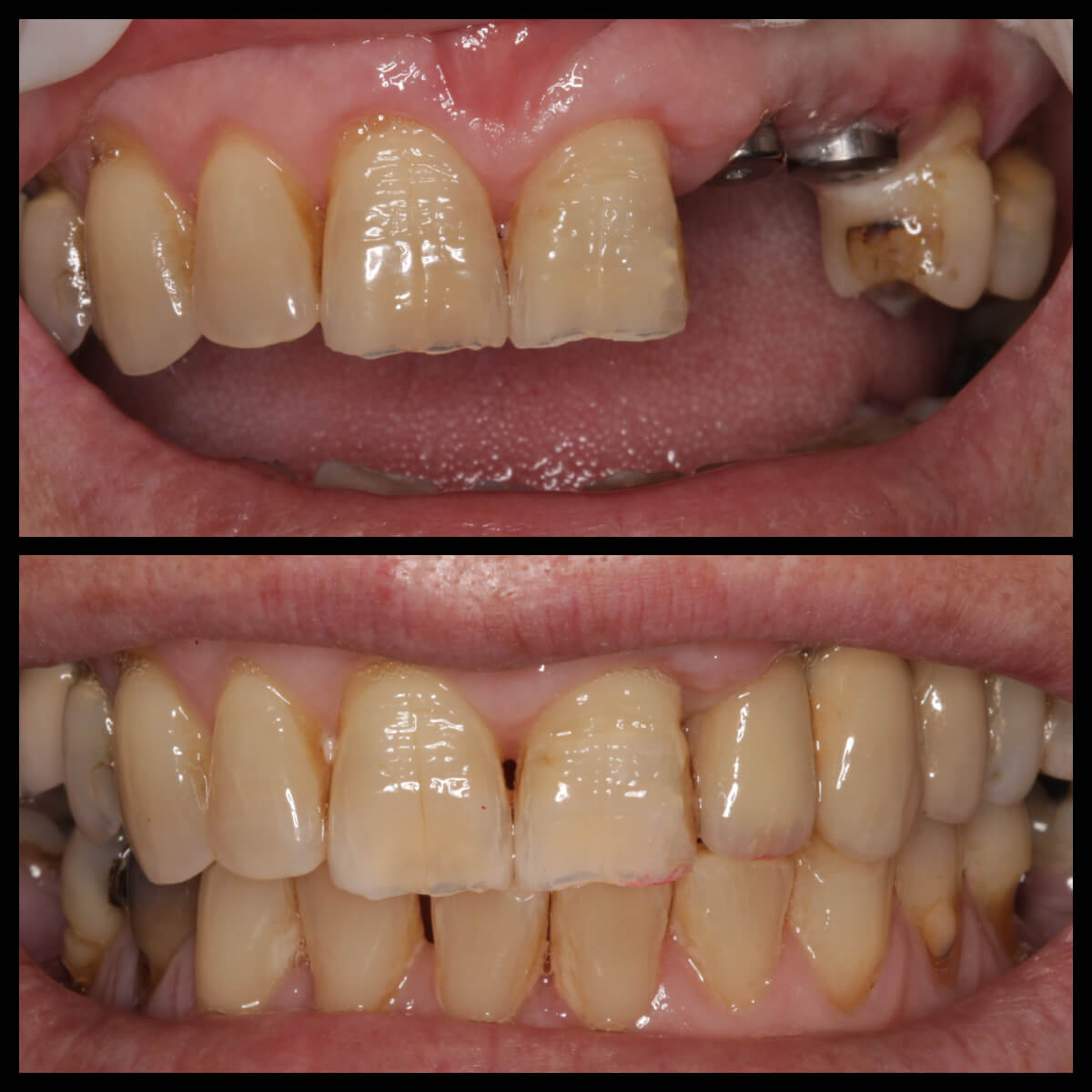
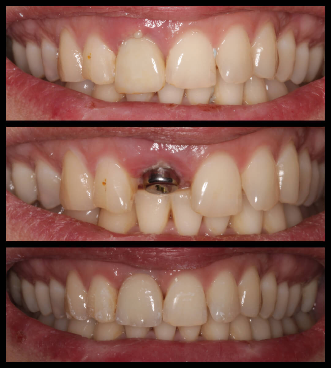
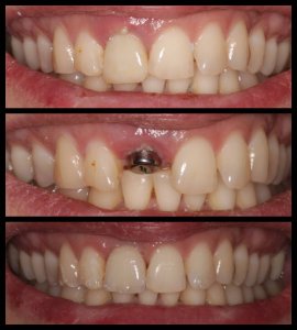
ΠΕΡΙΣΤΑΤΙΚΑ ΜΕ ΤΟΠΟΘΕΤΗΣΗ ΕΝΔΟΟΣΤΙΚΩΝ ΕΜΦΥΤΕΥΜΑΤΩΝ. ΌΠΟΥ ΧΡΕΙΑΣΤΗΚΕ ΠΡΑΓΜΑΤΟΠΟΙΗΘΗΚΕ ΑΝΑΠΛΑΣΗ ΟΣΤΟΥ ΚΑΙ ΟΥΛΙΚΩΝ ΕΛΕΙΜΜΑΤΩΝ ΜΕ ΧΡΗΣΗ ΜΟΣΧΕΥΜΑΤΩΝ ΚΑΙ PRF